Tipuri de radiografii dentare
Un diagnostic corect este fundamentul unui tratament stomatologic de succes. Radiografia dentară digitală este metoda cea mai eficientă pentru a obține informații detaliate și precise despre starea dinților și a structurilor înconjurătoare.
La centrele noastre de imagistică dentară, utilizăm echipamente de ultimă generație, furnizate de lideri mondiali în domeniul radiologiei stomatologice. Tehnologia avansată, combinată cu experiența și pregătirea riguroasă a echipei noastre, garantează imagini de o claritate excepțională. Astfel, medicii stomatologi primesc date esențiale pentru stabilirea unui diagnostic exact, în timp ce pacienții beneficiază de o expunere minimă la radiații, pentru maximă siguranță.
La centrele noastre de imagistică dentară, dispunem de tehnologia necesară pentru a realiza toate tipurile de radiografii esențiale pentru un diagnostic stomatologic complet.
Radiografia digitală panoramică
Ortopantomografia, cunoscută și ca radiografie panoramică, oferă medicului stomatolog o vedere completă asupra dinților și a structurilor maxilo-faciale adiacente. Aceasta este recomandată înainte de orice intervenție stomatologică, permițând specialistului să analizeze în detaliu cazul. Radiografia ajută la identificarea eventualelor inflamații, a dinților incluși, a stării osului de suport, a articulațiilor temporo-mandibulare, precum și a poziției molarilor de minte. De asemenea, facilitează evaluarea relației dinților cu structuri anatomice vecine, cum ar fi nervul alveolar sau sinusurile maxilare, și detectarea posibilelor fracturi ale oaselor maxilare sau mandibulare.
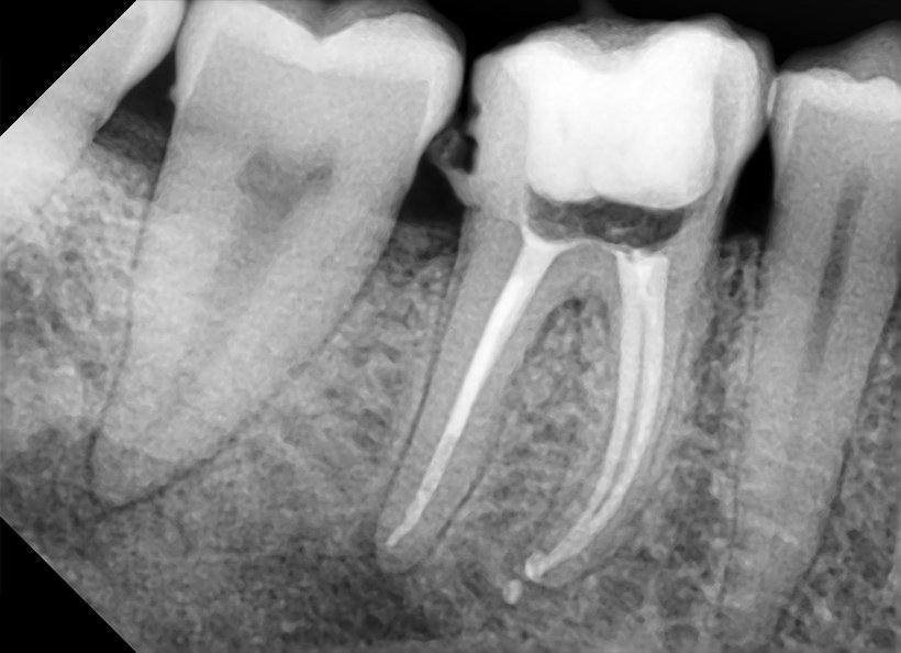
Radiografia digitală retroalveolară
Radiografia periapicală, cunoscută și sub denumirea de retroalveolară, este o investigație imagistică precisă, utilizată pentru a examina în detaliu un dinte sau un grup mic, de maximum doi-trei dinți. Aceasta surprinde întreaga structură a dintelui, la dimensiuni reale, incluzând coroana, rădăcina și osul alveolar în care dintele este fixat. Este o metodă indispensabilă în cadrul tratamentelor endodontice, parodontale sau chirurgicale, deoarece permite medicului stomatolog să evalueze cu acuratețe starea rădăcinii, a coroanei și a țesuturilor înconjurătoare. De asemenea, radiografia retroalveolară ajută la identificarea eventualelor afecțiuni, cum ar fi carii profunde, leziuni periapicale sau anomalii ale structurii dentare, contribuind astfel la un diagnostic corect și la planificarea unui tratament eficient.
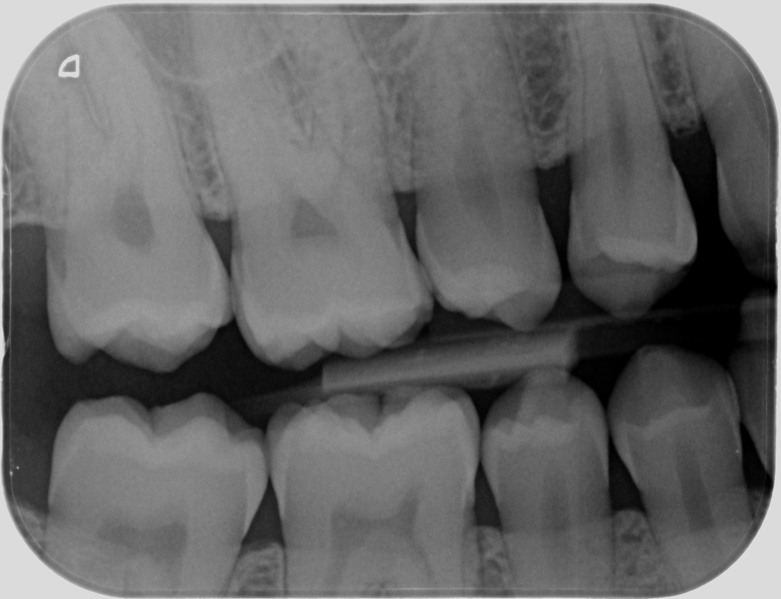
Radiografia digitală bite-wing
Radiografia bitewing este utilizată pentru a analiza zonele de contact dintre coroanele dinților posteriori vecini sau pentru a evalua conturul osului alveolar în regiunea respectivă. Aceasta capturează simultan coroanele dinților superiori și inferiori pe aceeași imagine. Principalul său obiectiv este identificarea cariilor interdentare, precum și a celor ascunse sub plombe sau lucrări dentare, facilitând astfel un diagnostic precis pentru tratamentele stomatologice.
Status bi-maxilar
Radiografiile de status bi-maxilar sunt realizate separat pentru fiecare regiune a cavității bucale, oferind o imagine completă a acesteia. Acestea includ detalii precise ale grupelor de dinți, obținute prin tehnici retroalveolare și bitewing, pentru o evaluare amănunțită a structurilor dentare.
Teleradiografia de profil
Teleradiografia de profil este recomandată în cazurile în care se planifică utilizarea unui aparat ortodontic pentru alinierea dinților sau pentru ajustarea structurii osoase și a ocluziei pacientului. Aceasta oferă o imagine clară a relației dintre dinți, maxilare și oasele craniului, permițând medicului ortodont să efectueze măsurători precise pentru stabilirea diagnosticului și elaborarea unui plan de tratament personalizat.
Tomografia computerizată CBCT
Tomografia computerizată (CBCT) oferă medicului o reprezentare tridimensională precisă, la scară reală, a dinților, maxilarelor, sinusurilor și articulațiilor din zona maxilo-facială. Aceasta permite evaluarea volumului și densității osoase, măsurători exacte ale crestei alveolare, precum și identificarea fracturilor, tumorilor, traiectului nervilor, anomalii ale sinusurilor sau afecțiuni ale articulațiilor temporo-mandibulare. Dincolo de rolul său esențial în diagnosticare, tomografia computerizată este crucială pentru planificarea tratamentelor chirurgicale, implanturilor dentare, intervențiilor ortodontice și lucrărilor protetice, contribuind la un plan de tratament mai precis și cu un prognostic optim pentru pacient.







